성장기 턱 발달과 교합 문제
함께 진단하기

성장기 자녀들의 주걱턱, 무턱, 돌출입, 개방교합 등 얼굴라인의 부조화와 부정교합의 원인은 턱 발달이 불균형적이거나 치아문제일 수 있어 이에 대한 진단을 명확히 해서 맞춤치료를 해야 합니다.
유치와 영구치의 교체시기인 특성도 고려해 영구치가 제자리를 잡도록 하는 등 성인교정과 달리 신경써야 할 부분들이 있습니다.

고운얼굴 이치과에서는 다양한 성장기 교정치료 경험이 풍부한 치과교정과 전문의가 정밀한 진단시스템을 이용해 근본적 원인에 대해 진단하고 필요한 교정장치와 부가적 장치를 교정단계별로 맞춤 적용해가며 만족스러운 교정치료를 해드리고 있습니다.

고운얼굴 이치과 스마트 진단시스템에 대해 > 고운얼굴 이치과 다양한 교정장치에 대해 >

치아 원인으로 거꾸로 물리는 경우
교정치료 과정

본원에서 진료받은 동일 환자분의 사진으로 치료 전 2014년 6월 21일~치료 후 2016년 1월 16일 동일 조건하에 촬영하였습니다.

7세 아이의 앞니가 거꾸로 물려있는 경우로, 진단 결과
골격적인 문제가 아닌 치아가 원인인 기능적 Ⅲ급 부정교합입니다.

들어간 앞니를 앞으로 밀어주는 핑거스프링이 포함된 가철성 장치를 장착해 교정합니다.

3개월만에 위아래 치아 맞물림이 정상화되었으나
상악 측절치가 영구치인 송곳니의 맹출 경로를 막고 있어
영구치가 제대로 자리를 잡도록 치근 경사를 조절하기 위해
브라켓을 부착합니다.

측절치 치근 이동으로 송곳니의 맹출방향이
제대로 변경된 것을 확인하고 치료를 종료합니다.

좁은 상악골로 인해
앞니가 거꾸로 물리는 경우

교정치료 과정

본원에서 진료받은 동일 환자분의 사진으로 치료 전 2016년 4월 23일~치료 후 2016년 10월 7일 동일 조건하에 촬영하였습니다.

7세 아이로 앞니가 거꾸로 물리는 경우인데
상악골이 횡적으로 좁아 어금니 쪽에서도 거꾸로 물리고 있습니다.

이 경우 좁은 상악골의 확장만으로도
앞니의 거꾸로 물림이 해결될 수 있습니다. 상악골 확장시
뒤쪽에 비해 앞쪽이 더 빨리 벌어지기 때문에 확장하면서
상악골이 전체적으로 앞으로 나아가는 변화가 생기기 때문입니다.

횡적인 상악골 확장장치만으로 앞니와 어금니의 거꾸로 물림이
어느 정도 해소되었으나 벌어진 앞니 사이를 모아
측절치의 맹출 공간을 확보하기 위해 브라켓을 부착합니다.

교합이 안정적으로 이루어지면 치료를 종료합니다.
이어서 유지장치를 장착합니다.

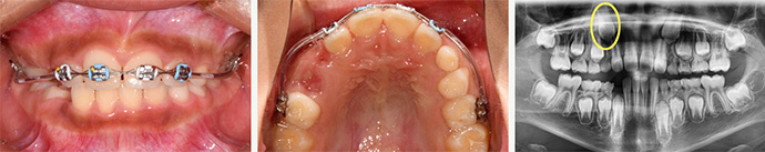
골격발달 부조화에 의해
앞니가 거꾸로 물리는 경우

교정치료 과정

본원에서 진료받은 동일 환자분의 사진으로 치료 전 2015년 9월 12일~치료 후 2017년 6월 24일 동일 조건하에 촬영하였습니다.

10세 아이의 앞니가 거꾸로 물려있고 주걱턱 증상을 보이는 경우인데
진단 결과 상악골이 덜 발달한 골격성 Ⅲ급 부정교합입니다.

상악골 확장을 위한 급속구개확장 장치를 장착합니다.
이어서 상악골 전방 견인을 위해
구외장치인 페이스 마스크를 장착합니다.

교합이 안정적으로 이루어지고 재발 여부 체크 후
이상이 없으면 치료를 종료합니다.

교정치료는 개인마다 치료결과에 차이가 있을 수 있으며 치아표면 탈회, 잇몸염증, 치근흡수 등이 발생할 수 있으니 의료진과 충분히 상담하세요.

창닫기

이메일 무단 수집거부

본 웹사이트에 게시된 이메일 주소가 전자우편 수집 프로그램이나 그 밖의 기술적 장치 를 이용하여 무단으로 수집되는 것을 거부하며, 이를 위반시 정보통신망법에 의해 형사 처벌됨을 유념하시기 바랍니다.

< 정보통신망 이용촉진 및 정보보호 등에 관한 법률 >

제50조 2 (전자우편주소의 무단 수집행위 등 금지)
① 누구든지 전자우편주소의 수집을 거부하는 의가사 명시된 인터넷 홈페이지에서 자동으로 전자우편주소를 수집하는 프로그램 그 밖의 기술적 장치를 이용하여 전자우편주소를 수집하여서는 아니된다.
② 누구든지 제1항의 규정을 위반하여 수집된 전자우편주소를 판매·유통하여서는 아니된다.
③ 누구든지 제1항 및 제2항의 규정에 의하여 수집·판매 및 유통이 금지된 전자우편주소임을 알고 이를 정보 전송에 이용하여서는 아니된다.

제65조 2 (벌칙) 다음 각호의 1에 해당하는 자는 1천만원 이하의 벌금에 처한다.
① 제50조제4항의 규정을 위반하여 기술적 조치를 한 자
② 제50조제6항의 규정을 위반하여 영리목적의 광고성 정보를 전송한 자
③ 제50조 2의 규정을 위반하여 전자우편주소를 수집ㆍ판매ㆍ유통 또는 정보전송에 이용한 자
[일부개정 2002.12.18 법률 제06797호]