옥니에 입술이 들어가보이는 경우
비발치 여부와 맞춤교정치료 위해
진단하기

치아 각이 작고 안으로 들어간 옥니의 경우 이에 의해
입술라인도 안으로 들어가보일 수 있습니다.
고운얼굴 이치과에서는 이러한 옥니, 함몰된 입술라인을
정상으로 되돌리기 위한 맞춤 치아교정을 비발치로 진행하는 등
치과교정과 전문의가 정밀한 진단시스템을
이용해 진단하고 맞춤교정치료를 진행함으로써
만족스러운 결과를 제공해왔습니다.

고운얼굴 이치과 스마트 진단시스템에 대해 >

옥니와 함몰된 입매,
비뚤비뚤한 치열을 개선하는

교정치료 과정

본원에서 진료받은 동일 환자분의 사진으로 치료 전 2014년 6월 7일~치료 후 2015년 10월 10일 동일 조건하에 촬영하였습니다.

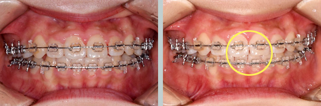
앞니가 고르지 못하면서 측절치가 뒤에서 나와 거꾸로 물립니다.

앞니가 안으로 기울어져 치아 각이 작아 이로 인해
아랫입술이 얇고 함몰되어 보입니다.

함몰된 입술의 외형을 개선시키기 위해 치아를 앞으로
나오게 해야 하는데 진단 하에 비발치로 진행할 수 있습니다.
안으로 기울어진 앞니의 각도 개선 및 뒤로 빠져있는 측절치의
배열공간 확보를 위해 오픈코일스프링을 적용합니다.

거꾸로 물리는 측절치를 앞으로 당기는 견인을 진행합니다.
이때 측절치가 넘어오는 과정에서 주변 치아의 교합력에 방해받지 않도록 바이트블록(biteblock)도 부착합니다.

측절치가 앞으로 넘어오면 교정장치를 부착해 다른 치아들과 함께
배열합니다. 교정 중 앞니가 뻐드러지는 경향을 보이면 치간 삭제 후
앞니 각도를 조절합니다.

안으로 들어간 치아 각도가 개선되고 함몰된 입매 역시
만족스럽게 변화되면 치료를 종료하고 유지장치를 장착합니다.

교정치료는 개인마다 치료결과에 차이가 있을 수 있으며 치아표면 탈회, 잇몸염증, 치근흡수 등이 발생할 수 있으니 의료진과 충분히 상담하세요.

창닫기

이메일 무단 수집거부

본 웹사이트에 게시된 이메일 주소가 전자우편 수집 프로그램이나 그 밖의 기술적 장치 를 이용하여 무단으로 수집되는 것을 거부하며, 이를 위반시 정보통신망법에 의해 형사 처벌됨을 유념하시기 바랍니다.

< 정보통신망 이용촉진 및 정보보호 등에 관한 법률 >

제50조 2 (전자우편주소의 무단 수집행위 등 금지)
① 누구든지 전자우편주소의 수집을 거부하는 의가사 명시된 인터넷 홈페이지에서 자동으로 전자우편주소를 수집하는 프로그램 그 밖의 기술적 장치를 이용하여 전자우편주소를 수집하여서는 아니된다.
② 누구든지 제1항의 규정을 위반하여 수집된 전자우편주소를 판매·유통하여서는 아니된다.
③ 누구든지 제1항 및 제2항의 규정에 의하여 수집·판매 및 유통이 금지된 전자우편주소임을 알고 이를 정보 전송에 이용하여서는 아니된다.

제65조 2 (벌칙) 다음 각호의 1에 해당하는 자는 1천만원 이하의 벌금에 처한다.
① 제50조제4항의 규정을 위반하여 기술적 조치를 한 자
② 제50조제6항의 규정을 위반하여 영리목적의 광고성 정보를 전송한 자
③ 제50조 2의 규정을 위반하여 전자우편주소를 수집ㆍ판매ㆍ유통 또는 정보전송에 이용한 자
[일부개정 2002.12.18 법률 제06797호]