위아래 송곳니가 심한 덧니이고
치열이 비뚤비뚤한 경우
맞춤교정치료 위해 진단하기

위아래 송곳니가 제 위치에 나지 못하고 두드러지게 튀어나온 경우
이러한 치열의 문제로 앞니가 불규칙한 총생, 안면비대칭 등이
복합적으로 나타날 수 있습니다.
고운얼굴 이치과에서는 다양한 형태의 심한 덧니 교정치료를 해온 치과교정과 전문의가 정밀한 진단시스템을 이용해 진단하고 맞춤교정치료를 진행하면서 치아 변화 과정별로 디테일한 조정을 함으로써 만족스러운 결과를 제공해왔습니다.

고운얼굴 이치과 스마트 진단시스템에 대해 >

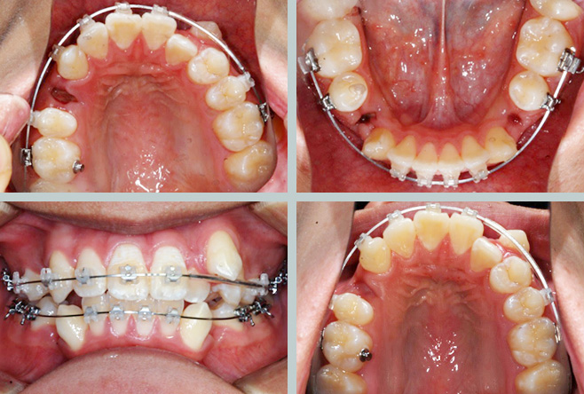
덧니와 불규칙한 치열 교정치료 과정

본원에서 진료받은 동일 환자분의 사진으로 치료 전 2014년 8월 20일~치료 후 2016년 8월 2일 동일 조건하에 촬영하였습니다.

상악과 하악의 송곳니들이 심한 덧니 상태이면서
상악 중심선이 왼쪽으로 치우쳐져 있습니다.
그로 인해 경도의 안면비대칭과 돌출입 증상도 보입니다.

상악과 하악의 소구치 발치 후 교정을 진행합니다.
그런데 상악 중심선이 심하게 왼쪽으로 변위되어 있어
상악 왼쪽의 소구치는 일단 고정원으로 사용하기 위해
발치를 보류합니다.

송곳니가 심하게 기울어져 있어 처음부터 같이 배열하면
다른 치아들이 송곳니에 의해 원치 않는 방향으로 움직일 수 있어서 송곳니를 제외하고 교정장치를 부착합니다.

치아를 배열하며 위아래 치아의 중심선을 맞추고
송곳니를 배열할 공간을 만들어주기 위해
오픈코일스프링을 적용합니다.

치아가 어느 정도 배열되어 송곳니를 제외한 치아들을
두꺼운 철사로 고정하고 하악의 송곳니만 약한 와이어로 배열하는
더블 와이어 테크닉을 구현합니다. 송곳니의 회전을
효율적으로 개선하기 위해 치아 안쪽에도 장치를 부착합니다.

위아래 치아 중심선이 어느 정도 맞고 하악의 송곳니 기울기도
조절되는 시점에 상악 왼쪽의 소구치를 발치하고
상악 송곳니에도 장치를 부착하여
약한 와이어를 이용해 함께 배열합니다.

송곳니 배열이 되는 중에
교정용 고무줄로 어금니 교합도 개선합니다.

송곳니가 제자리를 잡고 치아 중심선도 맞춰지고
돌출입과 비대칭 증상도 개선된 것을 확인하면
치료를 종료하고 유지장치를 장착합니다.

교정치료는 개인마다 치료결과에 차이가 있을 수 있으며 치아표면 탈회, 잇몸염증, 치근흡수 등이 발생할 수 있으니 의료진과 충분히 상담하세요.

창닫기

이메일 무단 수집거부

본 웹사이트에 게시된 이메일 주소가 전자우편 수집 프로그램이나 그 밖의 기술적 장치 를 이용하여 무단으로 수집되는 것을 거부하며, 이를 위반시 정보통신망법에 의해 형사 처벌됨을 유념하시기 바랍니다.

< 정보통신망 이용촉진 및 정보보호 등에 관한 법률 >

제50조 2 (전자우편주소의 무단 수집행위 등 금지)
① 누구든지 전자우편주소의 수집을 거부하는 의가사 명시된 인터넷 홈페이지에서 자동으로 전자우편주소를 수집하는 프로그램 그 밖의 기술적 장치를 이용하여 전자우편주소를 수집하여서는 아니된다.
② 누구든지 제1항의 규정을 위반하여 수집된 전자우편주소를 판매·유통하여서는 아니된다.
③ 누구든지 제1항 및 제2항의 규정에 의하여 수집·판매 및 유통이 금지된 전자우편주소임을 알고 이를 정보 전송에 이용하여서는 아니된다.

제65조 2 (벌칙) 다음 각호의 1에 해당하는 자는 1천만원 이하의 벌금에 처한다.
① 제50조제4항의 규정을 위반하여 기술적 조치를 한 자
② 제50조제6항의 규정을 위반하여 영리목적의 광고성 정보를 전송한 자
③ 제50조 2의 규정을 위반하여 전자우편주소를 수집ㆍ판매ㆍ유통 또는 정보전송에 이용한 자
[일부개정 2002.12.18 법률 제06797호]