무턱을 수술이 아닌 교정치료로
할 수 있는지 진단하기

하악이 후퇴하여 부정교합과 함께 무턱 증상이 나타난 경우도 치아교정치료로 개선할 수 있습니다. 그에 대해 무턱 교정치료 경험이 풍부한 치과교정과 전문의가 정밀한 진단장비들을 이용해 진단한 후 치료가 진행됩니다.

고운얼굴 이치과 스마트 진단시스템에 대해 >

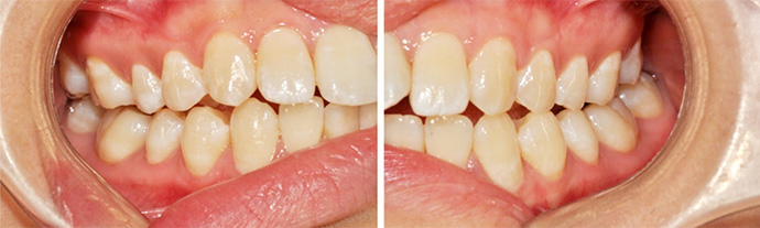
본원에서 진료받은 동일 환자분의 사진으로 치료 전 2013년 9월 29일~치료 후 2015년 3월 18일 동일 조건하에 촬영하였습니다.

턱관절질환에 의한 과두흡수로 하악이 후퇴하여 무턱이 된 경우로
이로 인해 입이 벌어지고 입을 다물면 입술주변 근육의 긴장감이 관찰되고 입술이 돌출되어 보이게 됩니다.

입이 안정적으로 다물어지지 못하는 개방교합과 II급 부정교합이 함께 나타나고 있습니다. 이런 경우 후퇴된 하악골의 전방회전 매커니즘의 치아교정치료를 하게 됩니다.

무턱 교정치료 과정

후퇴된 하악을 전방 이동하기 위해 상악 전체를 스크류를 이용해
상방 이동시킵니다.

개방교합이 개선되고 하악이 전방 이동하면 미세 마무리 교정을 합니다.

후퇴했던 하악이 앞으로 자연스럽게 나오고 부정교합이 치료되면서
무턱과 돌출입 증상 역시 개선될 수 있습니다. 치료 종료 후에도
한동안 유지장치를 장착해 교정효과를 유지해야 합니다.

교정치료는 개인마다 치료결과에 차이가 있을 수 있으며 치아표면 탈회, 잇몸염증, 치근흡수 등이 발생할 수 있으니 의료진과 충분히 상담하세요.

창닫기

이메일 무단 수집거부

본 웹사이트에 게시된 이메일 주소가 전자우편 수집 프로그램이나 그 밖의 기술적 장치 를 이용하여 무단으로 수집되는 것을 거부하며, 이를 위반시 정보통신망법에 의해 형사 처벌됨을 유념하시기 바랍니다.

< 정보통신망 이용촉진 및 정보보호 등에 관한 법률 >

제50조 2 (전자우편주소의 무단 수집행위 등 금지)
① 누구든지 전자우편주소의 수집을 거부하는 의가사 명시된 인터넷 홈페이지에서 자동으로 전자우편주소를 수집하는 프로그램 그 밖의 기술적 장치를 이용하여 전자우편주소를 수집하여서는 아니된다.
② 누구든지 제1항의 규정을 위반하여 수집된 전자우편주소를 판매·유통하여서는 아니된다.
③ 누구든지 제1항 및 제2항의 규정에 의하여 수집·판매 및 유통이 금지된 전자우편주소임을 알고 이를 정보 전송에 이용하여서는 아니된다.

제65조 2 (벌칙) 다음 각호의 1에 해당하는 자는 1천만원 이하의 벌금에 처한다.
① 제50조제4항의 규정을 위반하여 기술적 조치를 한 자
② 제50조제6항의 규정을 위반하여 영리목적의 광고성 정보를 전송한 자
③ 제50조 2의 규정을 위반하여 전자우편주소를 수집ㆍ판매ㆍ유통 또는 정보전송에 이용한 자
[일부개정 2002.12.18 법률 제06797호]